はてなブログを持っていれば、誰でも参加できます。
あけましておめでとうございます。 昨年は一度も更新しないままでした。 フランス語は・・というと、通勤途中ほそぼそと読書を続けていて、 最近は本屋でふと手にした本を読んでいます。 L’effroi – Francois Garde L'effroi 作者:Garde, Francois Gallimard Amazon 出だしの事件が衝撃的なので、おもしろそうと思って買いました。 語彙も平易で劇場関…
どうも適当夫婦です。 2025年の年間家計簿を大公開したいと思います!ぜひお楽しみください。 家計のルール 適当夫婦は以下のルールで家計を管理しています。 月1回(月末〜翌月初)家計簿をつける 給料(手取り)から各々が支払っている固定費とお小遣い(約5万円)差し引いた残りを家計に入れる ボーナスは2人で相談の上、家計に入れる額を決定 ルールはふわっと適当に決めてます〜 2025年の家計簿 それでは…
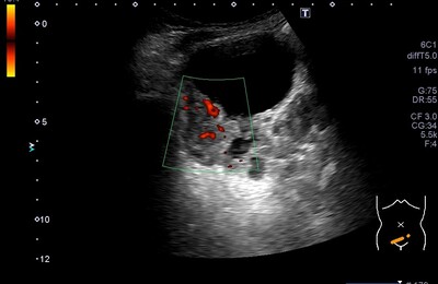
1年以上のお久しぶりです(//∇//)。こんにちは。 2026年になっちゃいました💦寒いので こたつの中で記事を書きたいですが、こたつが無い。。。 今回は肉眼的血尿で受診の、膀胱のエコー画像になります。 静止画です⇩ 膀胱右側壁に隆起性病変を認めます。 膀胱 CTでも膀胱右側壁に腫瘍が確認でき、膀胱鏡検査へ。 CS:膀胱右側壁、右尿管口外側から頂部右側まで続く約3㎝ほどの乳頭状広基性腫瘍。と記載さ…
2025年の読書メーター読んだ本の数:34読んだページ数:6802ナイス数:171【第71回青少年読書感想文全国コンクール課題図書】ぼくのねこ ポー (PHPとっておきのどうわ)の感想図書館本。小学生へのおすすめ(低学年)として。読了日:12月06日 著者:岩瀬 成子まほうの絵本屋さん 七色の手紙の感想図書館本。低学年向けとして配架しているが、中学年でもよかったか。読了日:12月06日 著者:小手…
今週のお題 MEETS CAREER × Hatena Blog 特別お題キャンペーン #2025年仕事の思い出 by マイナビ転職 登舟待便風(舟にのりて、便風を待つ) 月色暗朦朧(月色暗くして、朦朧たり) 欲碾香輪去(香輪をめぐらして、去らんと欲せども) 高山千萬里(高山、千万重) 順風を待って舟出そうと思ったが、今まで明るく輝いていた月が、急に暗く朦朧(おぼろ)になってきた。それではと、車を…
2026年元日(モーニングショー初日の出より) インテグラルな「私たち(We)」! 新年を迎え、これが今年のコンセプトであり、達成したいヴィジョンである。 すでに見てきたように、インテグラルな知を活用できれば苦難を乗り越えるヒントを得ることができる。しかしながら身近な人が苦難のさ中にあるからとこれを薦めても、まず受け入れられることはない。また分かったと言ってそこから実践する人とも(私たちの小児がん…
あけましておめでとう。2026年という「加速の年」へようこそ。 昨年、私たちはChatGPTや生成AIという「魔法の杖」を手に入れた。しかし、冷静に周囲を見渡してほしい。その杖を振って、あなたの銀行残高やキャリアの市場価値は、期待したほど変化しただろうか? 2026年。AIを使えることは、もはや読み書きができるのと同じ「前提条件」になった。今年、私たちが取り組むべきは「AIを使うこと」ではない。「…
【中学入試】語彙力アップ演習:特別な読み方と意味 中学受験の漢字テストで差がつく「特別な読み方(熟字訓・当て字)」の問題です。 読み方だけでなく、その言葉が使われる場面(意味)も一緒に覚えましょう。 一、読み方と意味の選択問題 次の文の太字の部分の読み方を「ひらがな」で書きなさい。また、その言葉の意味として最もふさわしいものを、下の選択肢(ア~ウ)から一つ選びなさい。 1. 【梅雨】 梅雨の時期は…
タイ タイ 概要・雑感 チェンマイ ▶チェンマイ国際空港 ▶セントラル・チェンマイエアポート ▶市街、ターペー門 ▶ワット・プラシン ▶忠犬ハチ公 ▶チェンマイ大学 ▶サイアム・ドラゴンショー・チェンマイ ▶ワット・ロークモーリー ▶ドーイステープ ▶ワット・パーラート 概要・雑感 チェンマイ:2025/12/6-7に行ってみる。汗ばむことは汗ばむが、比較的涼しい。アユタヤを奈良とすれば京都といっ…
とある動画を観た。 【強迫性障害】”ひきこもり”も経験 アニメ制作に込めた想い 福岡 NNNセレクション www.youtube.com この動画に出てくる人が強迫性障害になったきっかけが。会社員生活の営業職、だったらしい。詳細は「迷える迷える子羊さん」で検索すると出てくるが、今は見当らないみたい。あ~わかるね。俺も会社員生活で、そこまではならなかったけど。耳鳴り、幻聴みたいなのは、なった。安月給…
次のページ