歯科、口腔外科に関するグループです
はてなブログを持っていれば、誰でも参加できます。
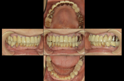
右下第二大臼歯、歯と歯の間に虫歯があり治療を行いました。 直接充填するダイレクトボンディングという方法で治療を行いました。 セラミックと比較して削る量が少ない、一回で歯が入るというメリットがありますが、口を開けている時間が長いというデメリットもあります。 治療する歯ができるだけ長持ちする治療法を提案するようにしています。 ダイレクトボンディング 残っている歯の溝や膨隆から、咬合面の形態をイメージし…
皆さん初めまして。Maprinと申します。 初めましてでない方もどうぞ宜しくお願いいたします。 @コスメでmad-about-TIREUR名義で口コミやブログを投稿していますが、この度ボチボチと「はてなブログ」さんにデータお引越ししています。 重複している内容もありますので、ご了承ください。加筆修正した部分もガッツリご用意してあります。 情報過多な記事なので、お使いの環境によっては重たい&ゆっくり…
*本ページはプロモーションが含まれています。髪・爪・肌の健康維持に有用とされるビオチンを、1粒あたり10,000mcg配合したサプリメント。 タンパク質の合成に関わるビオチンを補給することで、強く、つややかな状態へと導き、いつまでも若々しくありたい方を応援します。 [VitalMe]バイタルミー ビオチン10000mcg
前回記事 sansan-rougo.hatenablog.com スケーリング、リテーナーの調整 25分 リテーナ―の脱着方法を指導された。 再診料:税込6600円 保定期間に入って1年が過ぎた マウスピース型リテーナーの寿命 歯科医院製:1年~3年 市販品:数週間~数ヶ月 www.warabi-shika.jp
今回、歯科医師がデスクトップに保存しておくと役立つサイトを5つご紹介します。 医療機器の添付文書検索サイト www.pmda.go.jp 一般GPにとって欠かせないのが医療機器の添付文書。 材料の使い方を知らずして医療行為を行うべからず。 企業のHPから添付文書を探す手間が省けるため、便利な検索エンジン。 医療用医薬品の添付文書検索サイト www.info.pmda.go.jp 薬剤を処方する際に…
ライオン株式会社から新たに展開された歯磨き粉ブランドがOCH-TUNE(オクチューン) OCH-TUNE(オクチューン)|ライオン株式会社 今回はそのレビューをします。 オクチューンシリーズのラインナップは、時間のない朝にも手早く歯磨きを済ませられる「FAST」と、時間に余裕のある夜にじっくりとケアできる「SLOW」という2つです。 そして、それぞれに歯磨き粉、歯ブラシ、マウスウォッシュがラインナ…
この記事はゼロから始める生成AIセミナーのセミナー導入部「生成AIを触ってみよう」までのスライド・内容をまとめたものです。セミナー内容は4つぐらいの記事にわけて投稿していく予定です。 この記事を読めば、「生成AIってなに?」状態からでも、「実際に自分のスマホでChatGPTを使う」まで、全部ひとりでできます! セミナーを開催できたのは、運営してくださった原嶋先生や、準備期間中に家事育児を引き受けて…
ご無沙汰しております。ブログの写真の張り付け方が変わってしまい、戸惑っている間に前回のブログからこんなに時間がたってしまいました・・・ 最近の仕事の事なのだけど、DA(国家資格)ちゃんが、待機リストにいた衛生士プログラムに合格して、州をまたいで引っ越すことになりました。入学しても1/3が脱落すると言われていて、おめでとう~!と職場の皆でお別れパーティーする気持ちではないとの事。なので、個人的にプレ…
人生はじめてのラッピングしましたー🤗 皆さんラッピング知ってはりますか⁉️車好きな方なら知ったはると思いますけど、最近塗装するよりもラッピングの方が流行ってますね^_^ ラッピングのメリット 色が嫌になった時に剥がして元に戻せる 塗装面の保護になり元の塗装に傷が付かない 場所を選ばず作業してもらえる デメリット 費用が塗装するより1.5倍位する 三年が目安くらいで張り替えないと元の塗装まで一緒に剥…
Next page