歯科、口腔外科に関するグループです
はてなブログを持っていれば、誰でも参加できます。
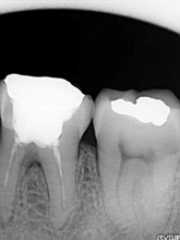
毎日投稿するというのは思ったより難しいんですね どうも、昼夜逆転と戦い続けるでんたまです笑 ようやく教科書がやってきました!!
またまだ収束の目処が立たないコロナウィルス。 コロナウィルスの猛威だけでなく、 長引いていることで、様々な影響がでていますよね。 マスク不足に困っている方々のニュースを 毎日のようにニュースで拝見します。 転売も禁止になり、良くも悪くも手に入らない状況。 何時間も何軒も スーパーやドラックストアを探し回られている方へ もしかしたらお近くに購入出来る場所があるかもしれません。 マスクを売っているお店…
2018年11月10日のマツコ会議がどうも話題になってるみたいですね。 そして、どうやら今回の主役は歯科衛生士さんだそうで、ついに歯科衛生士という職業フューチャーされるようです。 うっうれしい。。。 でもちょっと予告見る限りではその歯科衛生士さんすごい人のようです。 何でも、歯科衛生士なのに、大阪の心斎橋と神戸ににホワイトニングサロンを開設し、しかも経営者なんですって。 お名前は「佐藤朱美さん」と…
皆さんは歯科の情報や知識をどのような媒体から得ていますか? 歯科医院に置いてあるパンフレットやTV番組やネットの記事などでしょうか。 今回はYouTubeにある動画で歯について非常にためになり面白い動画を厳選して紹介したいと思います。 現役歯科医師ラッパーによる歯の痛さを歌ったナンバー『歯痛くて feat.Dr.COYASS』 www.youtube.com 現役の歯科医師が歌っている 歌っている…
これから書く話は、女性にとってかなり恥ずかしい。 簡単にまとめると、自分の適当な性格から、歯周病になって、それがだいぶ回復したよって言う話なのです。 歯周病に気付いていない女性は多い 芸能人じゃないけど、女性にとってもやはり歯は大事!!(もちろん男性もですね) 歯並び悪かったり、虫歯や歯周病で口臭があったりすると、いくら美人でも最悪な印象ですよね。(ぶたこが美人と言ってるわけじゃないよ・・) 自分…
6本仮歯、眠れず食べられず このままセラミック 化け物だぜ
このところ、どうも左下奥歯の感じがよろしくない。物を食べると痛むし、何も食べていなくても、しばしば歯の底がジンジンするのです。 この歯は、歯根膜炎との闘いの最中にも気になっていたので、その際、日本の歯科医に診てもらっています。その時の診断は、「患部のある右側をかばい、左でばかり食べているから負担がかかっている。しばらく様子を見ましょう」 といった内容でした(『悶絶の歯根膜炎【19日目】根管治療』参…
私は外側よりも目立たないという、内側に取り付ける方法で矯正することにしたよ。 大体2時間くらいかかると言われていたから、余裕を持って3時間予定を空けて、歯医者さんに行った。 すぐに呼ばれて処置用の椅子へ。 口を開いておく装置?みたいなので口をグーッと広げられて、さらに舌が邪魔しないように固定するのを取り付けて。 なんかこういう罰ゲームありそうだなあって考えながら過ごしてた。 この状態で写真いっぱい…
次のページ